¿Mis dientes están bien… o solo lo parecen?
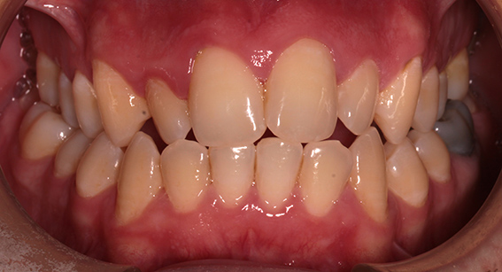
Muchas personas creen que la ortodoncia solo es necesaria cuando los dientes están torcidos o desalineados. Sin embargo, una sonrisa que parece correcta puede ocultar problemas de mordida que afectan a la salud dental y al bienestar general.
En nuestra clínica dental en Espejo (Córdoba) vemos a diario pacientes que nunca pensaron necesitar ortodoncia, pero presentan molestias, desgaste dental o tensión mandibular.
Señales de que podrías necesitar ortodoncia
Desgaste excesivo de los dientes
Si notas que tus dientes se desgastan, se astillan con facilidad o se ven cada vez más planos, puede deberse a una mordida incorrecta. Una revisión de ortodoncia en Espejo puede ayudarte a detectar el problema a tiempo.
Bruxismo o rechinar de dientes
El hábito de apretar o rechinar los dientes suele estar relacionado con problemas de mordida. Muchos pacientes adultos acuden a nuestra clínica dental en Espejo por molestias derivadas del bruxismo.
Dolores de cabeza, cuello o mandíbula
Una mala mordida puede generar sobrecarga muscular, provocando dolores de cabeza frecuentes, molestias cervicales o tensión en la mandíbula.
Dificultad para cerrar la boca cómodamente
Si al cerrar la boca notas que los dientes no encajan de forma natural, puede existir una maloclusión que requiera tratamiento de ortodoncia.
Dificultades al hablar o al pronunciar ciertos sonidos
Algunas posiciones incorrectas de los dientes y la lengua influyen en el habla. La ortodoncia puede mejorar tanto la función como la comodidad al hablar.
Respiración habitual por la boca
Respirar por la boca, tanto en niños como en adultos, puede estar relacionado con alteraciones en el desarrollo dental y facial, afectando a la mordida a largo plazo.
Dientes que se han ido moviendo con los años
Aunque tus dientes hayan estado rectos durante años, es habitual que se desplacen con el tiempo si existe una mordida inestable. Este es uno de los motivos más frecuentes de ortodoncia en adultos en nuestra clínica de Espejo.
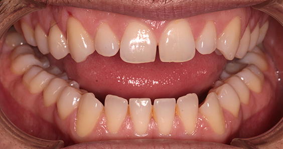
Ortodoncia en Espejo (Córdoba): más allá de la estética
La ortodoncia no solo mejora la apariencia de la sonrisa. También permite prevenir el desgaste dental, mejorar la masticación, reducir tensiones musculares y mantener una buena salud bucodental a largo plazo.
Conclusión
Si tus dientes parecen bien alineados pero notas molestias, desgaste o incomodidad, una revisión ortodóncica puede ayudarte a detectar problemas que no se ven a simple vista.
En nuestra clínica dental en Espejo (Córdoba) realizamos estudios personalizados para evaluar tu mordida y ofrecerte el tratamiento de ortodoncia más adecuado para cuidar tu sonrisa.

